How to Choose the Best Cosmetic Dentist in Houston for Your Smile Makeover
Understanding the Importance of a Cosmetic Dentist
When it comes to transforming your smile, choosing the right cosmetic dentist is crucial. A skilled professional can enhance not only the aesthetics of your smile but also your overall dental health. The right dentist will tailor their approach to meet your specific needs and preferences, ensuring you achieve the smile makeover you desire.
Researching Your Options
Begin your search by compiling a list of potential cosmetic dentists in Houston. You can do this by asking for recommendations from friends and family or searching online reviews. Pay close attention to those with consistently positive feedback and a strong reputation in cosmetic dentistry.

Check Credentials and Experience
Once you have a shortlist, it's important to verify the credentials of each dentist. Look for professionals who have specialized training in cosmetic dentistry and are members of recognized dental associations. Experience is also key—dentists with a proven track record in cosmetic procedures are more likely to deliver exceptional results.
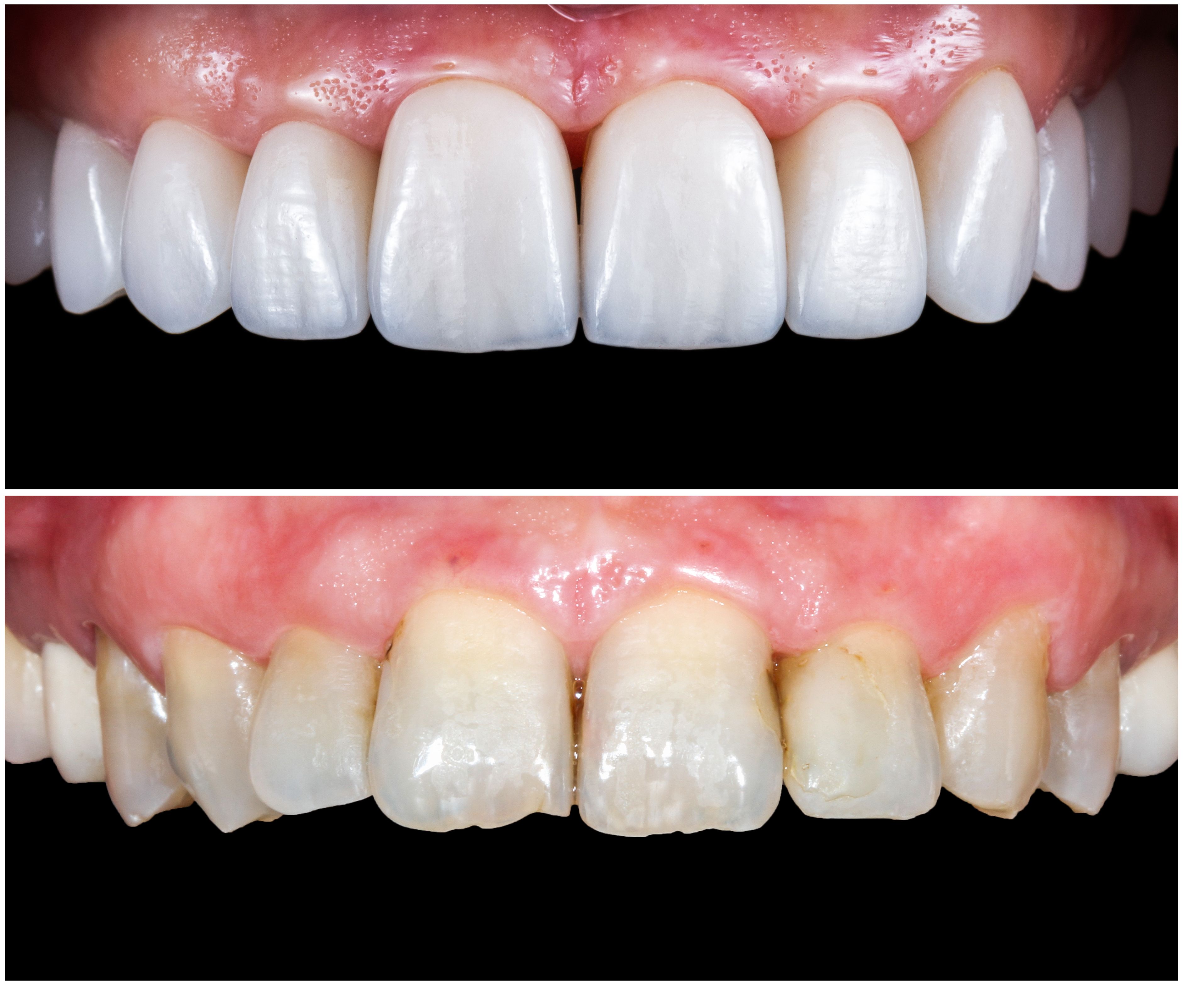
Reviewing Before and After Photos
Most cosmetic dentists will have a portfolio of before and after photos of their work. Reviewing these images can provide insight into the quality of their work and help you determine if their style aligns with your expectations. Pay attention to cases similar to yours to get a realistic idea of what you can achieve.

Consultation and Communication
A consultation is an excellent opportunity to gauge your comfort level with a potential cosmetic dentist. During this meeting, discuss your goals and ask questions about the procedures you're considering. A good dentist will listen attentively, address your concerns, and provide detailed explanations of the available options.
Consider the Technology and Techniques Used
Advanced technology can significantly impact the outcome of cosmetic dental procedures. Inquire about the tools and techniques each dentist employs. Modern equipment can enhance precision, reduce recovery time, and improve the overall experience. Choose a dentist who stays updated with the latest advancements in cosmetic dentistry.

Evaluate Costs and Financing Options
Cost is an important factor to consider when choosing a cosmetic dentist. Ask for a detailed breakdown of fees and compare them among different practices. Some dentists offer financing plans or accept dental insurance, which can make treatments more affordable. Ensure you understand all costs involved before proceeding.
Trust Your Instincts
Ultimately, trust your instincts when selecting a cosmetic dentist. Choose someone who makes you feel comfortable and confident in their abilities. A successful smile makeover requires open communication, mutual respect, and trust between you and your dentist.
With the right research and careful consideration, you can find the best cosmetic dentist in Houston to transform your smile into one that you’ll be proud to show off.
