The Ultimate Guide to Dental Implants: Everything You Need to Know
What Are Dental Implants?
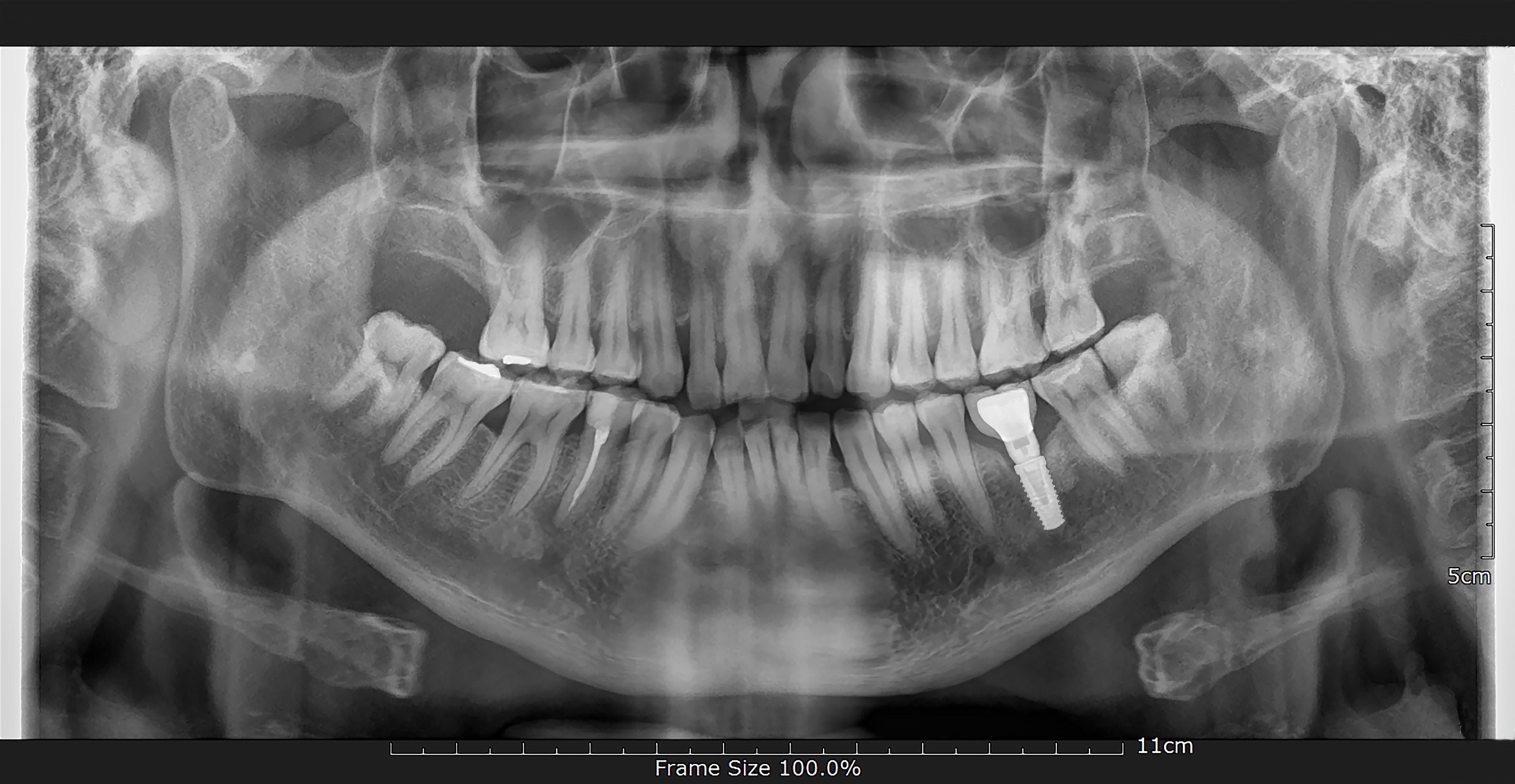
Dental implants are a revolutionary solution for replacing missing teeth, offering a permanent and natural-looking option. They consist of titanium posts that are surgically placed into the jawbone, serving as a sturdy foundation for artificial teeth. Unlike dentures, implants are designed to fuse with bone, providing stability and preventing bone loss.

The Benefits of Dental Implants
There are several advantages to choosing dental implants over traditional tooth replacement methods. Some of the key benefits include:
- Durability: Implants are designed to last for many years, often a lifetime, with proper care.
- Improved Oral Health: Unlike bridges, implants do not require the alteration of adjacent teeth.
- Enhanced Comfort and Functionality: Implants function like natural teeth, allowing you to eat, speak, and smile confidently.
- Aesthetic Appeal: They look and feel like real teeth, improving your overall appearance.
The Dental Implant Procedure
Understanding the procedure involved in getting dental implants can help ease any concerns. The process typically includes several stages:
- Initial Consultation: A comprehensive examination, including X-rays, to determine suitability.
- Surgical Placement: The titanium post is embedded into the jawbone under local anesthesia.
- Osseointegration: A healing period where the implant fuses with the bone, usually lasting a few months.
- Abutment Placement: Once healed, an abutment is attached to hold the crown.
- Crown Attachment: The final step involves placing a custom-made crown that matches your natural teeth.

Are You a Candidate for Dental Implants?
Not everyone is an ideal candidate for dental implants. Factors that influence eligibility include:
- Sufficient Bone Density: Adequate jawbone is necessary to support the implant.
- Good Oral Hygiene: Commitment to maintaining oral health is crucial for implant success.
- Overall Health: Chronic conditions like diabetes may require special consideration.
Caring for Your Dental Implants
Proper care is essential to ensure the longevity of your implants. Here are some tips to keep them in optimal condition:
- Brush twice daily and floss regularly to prevent plaque buildup.
- Avoid hard foods that could damage the implant or crown.
- Visit your dentist for regular check-ups and professional cleanings.

The Cost of Dental Implants
The cost of dental implants can vary significantly based on factors such as the number of teeth being replaced and your location. While they may have a higher upfront cost than other options, their durability and low maintenance can make them a cost-effective solution in the long run. Many dental offices offer payment plans or financing options to make the process more affordable.
Conclusion: Investing in Your Smile
Dental implants are an investment in both functionality and aesthetics, providing a long-term solution for those with missing teeth. By understanding the process and committing to proper care, you can enjoy all the benefits that dental implants have to offer. Consult with your dentist to determine if this life-changing procedure is right for you.
